Tuesday, December 02, 2025 12:45 AM ET
A son of notorious Mexican drug kingpin "El Chapo" pleaded guilty Monday to U.S. drug trafficking charges, months after his brother entered a plea deal.
CBC News - World - 2 minutes ago
As part of the plea deal, Joaquin Guzman Lopez admitted to helping oversee the production and smuggling of large quantities of cocaine, heroin, methamphetamine, marijuana and fentanyl into the U.S.
CBS News - Science - 4 minutes ago
Drugs, sexting and Trump's tantrums: RFK's alleged 'digital lover' Olivia Nuzzi's memoir lands
Sydney Morning Herald - Top Stories - 10 minutes ago
World Business -- UK wins zero tariff deal with US on drugs but will pay more for medicines
Independent.ie - Top Stories - 10 minutes ago
White House says second strike on defenceless drug suspects 'lawful'
Independent.ie - World - 10 minutes ago
Hegseth authorized 2nd strike on alleged drug vessel, White House says - January 1, 1970
CBC News - World - 27 minutes ago
New York Post - US News - 32 minutes ago
New York Post - Politics - 32 minutes ago
UPI - Top Stories - 34 minutes ago
UPI - US News - 34 minutes ago
Pilot in deadly Sea World crash an 'irregular' drug user, inquest hears
Australian Broadcasting Corp - World - 38 minutes ago
The first conditional recommendation by the organization advises the use of GLP-1 drugs by adults, except pregnant women, for long-term obesity treatment, while the second suggests interventions like a healthy diet and physical activity to be offered alongside the medicines.
CBC News - Health - 38 minutes ago
New York Post - Top Stories - 40 minutes ago
Hegseth backs 'hero' admiral who ordered second strike on alleged drug boat
Washington Examiner - Top Stories - 44 minutes ago
Backlash to White House, Hegseth response to boat-strike fallout
NZ Herald - Top Stories - 1 hour ago
The Canadian publishing house behind the "Franklin" children's books appeared to condemn Secretary of Defense Pete Hegseth, after he posted a cartoon image of the turtle blowing up a boat.
CBS News - Politics - 1 hour ago
White House: Admiral Ordered Follow-Up Strike on Drug Boat, Attack Was Lawful
The admiral is expected to provide a classified briefing Thursday to lawmakers overseeing the military.
Epoch Times - Top Stories - 1 hour ago
Plea deal with son of drug kingpin 'El Chapo' details abduction of legendary Sinaloa capo
Toronto Star - World - 1 hour ago
Rhetoric and 'gunboat' diplomacy: Is Trump pushing the US toward war with Venezuela?
United States President Donald Trump has threatened a ground invasion of Venezuela to disrupt what he claims is a vast drug-trafficking network. The U-S military has already deployed thousands of troops and dozens of warships to the Caribbean as a U-S air campaign that has killed at least 83 people…
SBS - World - 2 hours ago
Inside what drove the Trump admin's follow-up strike on alleged drug boat
'Special Report' panelists analyze the follow-up strike on an alleged drug boat as Congress vows to investigate the attack.
Fox News - Politics - 2 hours ago
Boston Globe - Top Stories - 2 hours ago
Guardian UK - US News - 2 hours ago
El Chapo's son pleads guilty in US drug case, cuts deal with prosecutors
Joaquin Guzman Lopez pleads guilty to drug trafficking and to kidnapping an individual believed to be 'El Mayo' Zambada.
Aljazeera - Top Stories - 2 hours ago
Fox News chief political analyst Brit Hume discusses the Trump administration defending a second strike on alleged narco terrorist boat on ‘Special Report.’
Fox News - Politics - 2 hours ago
White House says follow-up strike on alleged drug boat was lawful
Navy admiral was ‘within his authority’ when he ordered a second strike on the boat, press secretary said
The Globe and Mail - World - 2 hours ago
El Chapo's son enters plea in multibillion-dollar drug trafficking case
Fox News - US News - 3 hours ago
White House confirms admiral ordered 2nd strike on alleged drug boat
WASHINGTON, D.C. – A US admiral acting under the authority of Defense Secretary Pete Hegseth ordered a 'double-tap' military operation that targeted survivors of an initial attack on an alleged drug smuggling boat, the White House said Monday.
Manila Times - World - 3 hours ago
'Drug trafficking' is my job: El Chapo's son makes brazen admission to federal judge
Fox News - Top Stories - 3 hours ago
The White House confirmed the second strikes on 2 September, but denied reports that Defence Secretary Hegseth said "kill everybody" on board the vessel.
BBC News - US News - 3 hours ago
President Trump is considering next steps for operations in Venezuela, as lawmakers intensify their scrutiny of the Pentagon's deadly strikes on alleged drug boats.
CBS News - World - 3 hours ago
CBS News - Top Stories - 4 hours ago
Canadian publisher condemns Pete Hegseth's use of Franklin the turtle in post about boat strike
U.S. Defence Secretary Pete Hegseth turned the beloved Canadian children's book character Franklin the turtle into a bazooka-wielding soldier going after "narco-terrorists" in a social media post Sunday that was blasted by critics and condemned by the publisher. The defence secretary is also facing scrutiny over reports that he authorized a second military strike on an alleged drug vessel in September that killed two survivors.
CBC News - Top Stories - 4 hours ago
President Trump is considering next steps for operations in Venezuela, as lawmakers intensify their scrutiny of the Pentagon's deadly strikes on alleged drug boats.
CBS News - Top Stories - 4 hours ago
The U.S. military's early September strike on an alleged Venezuelan drug boat has drawn new scrutiny as the White House confirmed that the vessel was struck twice.
CBS News - Politics - 4 hours ago
Canada's public health plans end talks with Novo Nordisk to cover weight-loss drug Wegovy
Drug prescribed for weight loss contains same active ingredient as Ozempic, which is prescribed for patients with type 2 diabetes
The Globe and Mail - Top Stories - 4 hours ago
RFK Jr. Made Bombshell Drugs Confession to Lover, Ex Claims
The Daily Beast - Top Stories - 4 hours ago
The President Trump convened a meeting of his national security team to talk about Venezuela and what the U.S. will do next amid heightened tensions in the region. It comes amid fresh scrutiny of one of the 21 U.S. strikes on alleged drug boats. Weijia Jiang reports, then "CBS Evening News" co-anchor John Dickerson speaks about the issue with former Defense Secretary Leon Panetta.
CBS News - Top Stories - 4 hours ago
White House account of 2nd strike on alleged drug boat at odds with Trump's
ABC News - Politics - 4 hours ago
Trump signs law to unlock billions for drug addiction recovery
President Donald Trump on Monday signed into law a measure authorizing billions of dollars in federal funding to help prevent drug overdoses and aid patients recovering from addiction, according to th
The Columbian - US News - 4 hours ago
For the first time since 2017, Canadian doctors have released updated clinical guidelines for antiretroviral medications used to prevent HIV.
CBC News - Health - 4 hours ago
The Straits Times - World - 4 hours ago
Hulk Hogan's widow hits back at Ric Flair's claims WWE star died from 'street drugs'
Daily Mail - Top Stories - 4 hours ago
Boston Globe - Top Stories - 4 hours ago
CBS News - Top Stories - 4 hours ago
Salon - Top Stories - 5 hours ago
Hegseth Speaks Out About Admiral Who Allegedly Ordered Second Boat Strike
Newsweek - Top Stories - 5 hours ago
Eli Lilly cuts Zepbound prices in competitive weight loss drug market battle
Fox News - Business - 5 hours ago
Live Science - Top Stories - 5 hours ago
White House says admiral ordered follow-up strike on alleged drug boat, insists attack was lawful
The White House says a Navy admiral ordered a second strike on an alleged drug boat in the Caribbean Sea and insists the September attack that has come under bipartisan
Lancaster Online - US News - 5 hours ago
International Business Times - Top Stories - 5 hours ago
Kelly: Hegseth Authorizing Second Strike on Boat 'Incompetence at the Highest Level'
Monday on CNN's "The Lead," Sen. Mark Kelly (D-AZ) reacted to the White House confirming that Secretary of War Pete Hegseth authorized the follow-up strike on an alleged drug boat in the Caribbean in September by calling it "incompetence at the highest level." | Clips
Breitbart - Politics - 5 hours ago
Lawmakers said they did not know whether report that Defense Secretary Pete Hegseth ordered all crew members to be killed in Sept. 2 attack was true
The Globe and Mail - World - 5 hours ago
Joaquín Guzmán López's guilty plea comes after US prosecutors pledged last May to not pursue the death penalty against him.
BBC News - US News - 5 hours ago
Rescue teams are looking for survivors after a landslide hit two boats on the Ucayali River.
Rescue teams are looking for survivors after a landslide in Peru's Amazon region sank two boats on the Ucayali River, according to local media reports.
Deutsche Welle - Science - 5 hours ago
Son of drug kingpin 'El Chapo' pleads guilty in US drug trafficking case in a plea deal
One of the sons of imprisoned Mexican drug kingpin “El Chapo” has pleaded guilty to U.S. drug trafficking charges. He is the second of El Chapo’s sons facing similar charges
Lancaster Online - US News - 6 hours ago
Peru: 12 dead as landslide hits boats in Amazon region river
Rescue teams are looking for survivors after a landslide in Peru's Amazon region sank two boats on the Ucayali River, according to local media reports.
Deutsche Welle - World - 6 hours ago
WH says admiral ordered second strike on Venezuelan drug boat: 'Right to take them out'
The White House said the Pentagon authorized a second lethal military strike against an alleged Venezuelan drug boat — and insisted the double attack in September was legal. White House Press...
New York Post - Top Stories - 6 hours ago
Hegseth authorised drug boat strike criticised by Trump
Australian Broadcasting Corp - World - 6 hours ago
El Chapo's son pleads guilty to drug charges in US
The Sinaloa cartel is said to be responsible for sending "staggering" amounts of fentanyl to the US, where the opioid kills thousands every year.
Sky News - Top Stories - 6 hours ago
UPI - Top Stories - 6 hours ago
Family Stranded For 21 Hours After Boat Capsizes -- News
Four members of one family left Clearwater, Florida, on board a 25-foot catamaran to celebrate Dennis Woods’ 70th birthday and brought along his 90-year-old uncle, Clarence.
Inside Edition - Top Stories - 6 hours ago
UPI - US News - 6 hours ago
Christian Science Monitor - World - 6 hours ago
Top fentanyl trafficker wanted in US killed by Mexican military during drug raid
New York Post - World - 6 hours ago
Son of drug kingpin 'El Chapo' pleads guilty in U.S. drug trafficking case
Joaquin Guzman Lopez had been scheduled to be in court Monday in Chicago for a status hearing, but a court document said the appearance would now be a change-of-plea hearing.
Los Angeles Times - World - 6 hours ago
White House Throws Commanding Admiral Under The Bus In Killing Of Alleged Drug Boat Survivors
Huffington Post - Top Stories - 6 hours ago
Why Trump vows to pardon a Honduran drug trafficker, but threatens war elsewhere
Christian Science Monitor - Top Stories - 6 hours ago
Slate - Politics - 6 hours ago
Trump backs Hegseth after report claims war secretary ordered no survivors in drug boat strike
President Trump said Sunday he did not believe a report that War Secretary Pete Hegseth ordered no survivors be left from a US military strike on a suspected drug smuggling vessel in the Caribbean...
New York Post - Top Stories - 7 hours ago
US Navy commander ordered second Venezuela boat strike, White House says
The White House confirmed the second strikes on 2 September, but denied reports that Defence Secretary Hegseth said "kill everybody" on board the vessel.
BBC News - Top Stories - 7 hours ago
Concern over media reports that the US military carried out a second strike killing survivors on a suspected drug boat prompts a bipartisan inquiry.
BBC News - US News - 7 hours ago
White House says admiral ordered follow-on strike on alleged drug boat on Sept. 2
“Secretary Hegseth authorized Adm. [Frank] Bradley to conduct these kinetic strikes. Adm. Bradley worked well within his authority, and the law.”
Stars and Stripes - World - 7 hours ago
President Trump said he "wouldn't have wanted" a reported second strike on an alleged drug boat earlier this year, while pledging to look into it.
CBS News - World - 7 hours ago
Pensioner 'tricked into drug smuggling after thinking he'd won £3.7m prize'
Daily Express - Opinion - 8 hours ago
The Wiggles Caught in 'Ecstasy' TikTok, But Don't 'Support or Condone' Drugs
Rolling Stone - Top Stories - 8 hours ago
The White House says that a Navy admiral ordered a second strike on an alleged drug boat in the Caribbean Sea and insists that the September attack that has come under bipartisan scrutiny was lawful.
Military.com - Opinion - 8 hours ago
As part of the plea deal, Joaquin Guzman Lopez admitted to helping oversee the production and smuggling of large quantities of cocaine, heroin, methamphetamine, marijuana and fentanyl into the U.S.
CBS News - World - 8 hours ago
BBC Verify has tracked US assets in the Caribbean Sea, after military strikes on suspected Venezuelan drug boats.
BBC News - World - 8 hours ago
Son of drug kingpin 'El Chapo' pleads guilty in US drug trafficking case in deal with prosecutors
Orlando Sentinel - US News - 8 hours ago
Bay to Bay News - US News - 8 hours ago
Trump issues ultimatum to Venezuela's Maduro as retired general praises president's comprehensive approach to combating drug trafficking and fentanyl crisis.
Fox News - Top Stories - 8 hours ago
White House says admiral ordered follow-on strike on alleged drug boat, insists attack was lawful
Orlando Sentinel - Top Stories - 9 hours ago
Exemptions for ADHD drugs in MLB drop to record-low 54, down from 119 in 2013
Bay to Bay News - Sports - 9 hours ago
White House calls strikes on alleged Venezuelan drug boats 'self-defense'
ABC News - World - 9 hours ago
Independent UK - Top Stories - 9 hours ago
New York Post - Top Stories - 9 hours ago
What Eli Lilly's move to cut prices on obesity drug Zepbound means for investors
CNBC - Top Stories - 9 hours ago
BBC News - World - 10 hours ago
Leavitt confirms second strike that killed alleged drug boat survivors
Independent UK - US News - 10 hours ago
Trump admin live updates: WH says Adm. Bradley gave order on 2nd drug boat strike
ABC News - Top Stories - 10 hours ago
Trump faces scrutiny as Hegseth defends lethal strikes on alleged drug boats
ABC News - US News - 10 hours ago
GOP Rep. Gimenez on Dem Allegations of Drug Boat Strike 'War Crimes': 'I Smell a Rat Here'
On Monday's "Mornings with Maria" on the Fox Business Network, Rep. Carlos Gimenez (R-FL) dismissed congressional critics of the Trump Pentagon's strikes on Venezuelan drug boats. | Clips
Breitbart - Politics - 10 hours ago
New York Post - Entertainment - 10 hours ago
UK wins zero tariff deal with US on drugs but will pay more for medicines
Independent.ie - Business - 10 hours ago
'Historic': WHO releases first guidance on drugs like Ozempic for treating obesity
SBS - Top Stories - 10 hours ago
Independent UK - Top Stories - 11 hours ago
The Week - Politics - 11 hours ago
Pete Hegseth posts AI image of Franklin the Turtle shooting drug boats
Independent UK - US News - 11 hours ago
Trump's pardon of Honduras's ex-president shows counter-drug effort is 'based on lies and hypocrisy'
Guardian UK - Top Stories - 11 hours ago
Trump defends pardoning drug-trafficking Honduran ex-president
Independent UK - US News - 11 hours ago
Daily Mail - Top Stories - 11 hours ago
Trump admin strikes zero tariff pharmaceutical deal with Britain — a move welcomed by drugmakers
The United States and Britain announced a deal on Monday to secure zero tariffs on British pharmaceutical products and medical technology in return for...
New York Post - Health - 12 hours ago
Angus King: If True, First Caribbean Boat Strike Is a 'Stone-Cold War Crime'
Monday on CNN's "News Central," Sen. Angus King (I-ME) said if the reports about the Trump administration's first military strike on an alleged drug boat in the Caribbean were accurate, it would be a "stone-cold war crime." | Clips
Breitbart - Politics - 12 hours ago
WHO conditionally recommends GLP-1 drugs for obesity
The first conditional recommendation by the organization advises the use of GLP-1 drugs by adults, except pregnant women, for long-term obesity treatment, while the second suggests interventions like a healthy diet and physical activity to be offered alongside the medicines.
CBC News - Top Stories - 12 hours ago
The World Health Organization issued new guidelines recommending the use of GLP-1 drugs for adults with obesity and called for action on manufacturing and affordability.
CBS News - World - 12 hours ago
Wockhardt jumps over 19% after USFDA accepts its new drug filing
Times of India - Business - 12 hours ago
The Week - Top Stories - 12 hours ago
The Week - Politics - 12 hours ago
Live Science - Science - 12 hours ago
The Week - Top Stories - 12 hours ago
The deal follows threats of tariffs as high as 100% on branded drug imports.
BBC News - Business - 12 hours ago
Pardon for convicted drug trafficker is hypocritical | READER COMMENTARY
The Baltimore Sun - Opinion - 12 hours ago
Drug boats should be intercepted by any means necessary | READER COMMENTARY
The Baltimore Sun - Opinion - 12 hours ago
WHO Sets GLP-1 Weight-Loss Drug Guidelines
New WHO guidance calls for a worldwide obesity treatment “ecosystem” to ensure that GLP-1 weight-loss drugs are used fairly
Scientific American - Top Stories - 13 hours ago
Fresh, alarming warnings about Ozempic-like drugs — beware these 'unusual changes'
Popular drugs like Zepbound and Wegovy that promise a slimmer profile can trigger much more than weight loss.
New York Post - Top Stories - 13 hours ago
Trump Tries To Square Anti-Drug Stance With Plans To Pardon Convicted Trafficker
Huffington Post - Top Stories - 13 hours ago
What We Know About Pete Hegseth's Boat Strike Mess
Hegseth reportedly ordered the death of survivors of a U.S. attack on an alleged drug boat. The possible war crime now faces bipartisan scrutiny.
New York Magazine - Top Stories - 13 hours ago
Trump says will 'look into' supposed follow-on strike on alleged drug boat
Manila Times - World - 13 hours ago
JAMIE MCINTYRE: Hegseth denies giving order to kill survivors from boat strike
Washington Examiner - Top Stories - 15 hours ago
The United States changed its protocols after Secretary Hegseth allegedly told officials to "kill everybody" onboard an a Caribbean vessel in September.
Military.com - Top Stories - 15 hours ago
Two conservative challengers were practically tied for the lead in Honduras's presidential contest, with votes from about 55 per cent of polling places counted early Monday, according to preliminary and partial results.
CBC News - World - 15 hours ago
The Latest: Lawmakers urge congressional reviews of Trump's military strikes on boats
Lawmakers from both parties have launched congressional reviews of U.S. military strikes against vessels suspected of smuggling drugs. They're citing reports that Defense Secretary Pete Hegseth …
Bay to Bay News - US News - 15 hours ago
WHO issues guidelines on GLP-1 drugs
ABC News - Health - 15 hours ago
Obesity -- WHO Sets GLP-1 Weight-Loss Drug Guidelines
New WHO guidance calls for a worldwide obesity treatment “ecosystem” to ensure that GLP-1 weight-loss drugs are used fairly
Scientific American - Science - 15 hours ago
Health experts warns, weight-loss drugs causing mental health issues
Ideal weight loss is a never-ending wish for everyone's dreams, but it gets way too slow if done in a healthy way.People around the globe are experimenting with quick ways to shed off their extra...
International The News - Health - 16 hours ago
Daily Mail - Health - 16 hours ago
Lawmakers Voice Support for Congressional Reviews of Trump's Military Strikes on Boats
Lawmakers from both parties say they support congressional reviews of U.S. military strikes against vessels suspected of smuggling drugs in the Caribbean Sea.
Military.com - US News - 16 hours ago
Lawmakers from both parties say they support congressional reviews of U.S. military strikes against vessels suspected of smuggling drugs in the Caribbean Sea.
Military.com - Top Stories - 16 hours ago
Eli Lilly cuts cash prices of Zepbound weight loss drug vials on direct-to-consumer site
CNBC - Top Stories - 16 hours ago
GOP Senator Describes Trump's Pardon Of Drug Trafficking Ex-President As 'Calculated'
Huffington Post - Top Stories - 16 hours ago
Rivals 'cast and crew's raunchy drug-taking all-nighters' revealed
Evening Standard - Entertainment - 17 hours ago
Trump says he will pardon former Honduran president serving sentence in drug-trafficking case
Apple Valley News Now - Politics - 17 hours ago
Daily Mail - Health - 18 hours ago
Daily Mail - World - 20 hours ago
Daily Mail - Health - 21 hours ago
ADHD treatment cheaper, easier as GPs get green light to prescribe drugs
Sydney Morning Herald - Health - 23 hours ago
US legislators demand probe into Trump's 'drug boat' strikes
Several US senators support an inquiry into whether the strikes on alleged drug vessels were war crimes
Russia Today - World - 23 hours ago
Watchdog issues safety alert for Ozempic and other GLP-1 drugs
The high-profile weight loss and diabetes drugs will come with two new warnings.
Sydney Morning Herald - Health - 1 day ago
Daily Mail - Entertainment - 1 day ago
Daily Mail - Entertainment - 1 day ago
Daily Mail - Top Stories - 1 day ago
Trump mocked by 'Stocktwits' X account over '700%' drug prices claim
Independent UK - US News - 1 day ago
Democrat to push war powers resolutions after report of attack on drug boat survivors
ABC News - Top Stories - 1 day ago
Apple Valley News Now - Politics - 1 day ago
Bianchi: Gators miss Lane Train and now hope their new Jon Boat doesn't sink
Orlando Sentinel - Sports - 1 day ago
Daily Mail - Entertainment - 1 day ago
Van Hollen: 'Very possible there was a war crime committed' in Venezuela boat strike
ABC News - Politics - 1 day ago
Dutch firms are betting that hulls made with 3D printing machines will mean cheaper boats.
Dutch firms are betting that hulls made with 3D printing machines will mean cheaper boats.
BBC News - Technology - 1 day ago
House, Senate Armed Services Committees to Probe Reports of Follow-Up Strikes on Drug Boats
Hegseth denounced ’more fabricated, inflammatory, and derogatory reporting to discredit ... incredible warriors fighting to protect the homeland.’
Epoch Times - US News - 1 day ago
Daily Mail - Health - 1 day ago
Apple Valley News Now - Politics - 1 day ago
Euronews - World - 1 day ago
Boston Globe - Opinion - 1 day ago
What did Healey know about the background of aide arrested for drug trafficking?
LaMar Cook, the former deputy director of the governor’s Springfield office, had been previously arrested for gun crimes. Was the administration trying to give him a second chance — or was it unaware of the earlier case?
Boston Globe - Opinion - 1 day ago
Congo disaster: Boat capsizes on Lake Mai-Ndombe due to violent winds; 20 dead
Times of India - World - 2 days ago
Fox News Entertainment Newsletter: Tara Reid allegedly drugged, Guy Fieri's emergency surgery
Fox News - World - 2 days ago
Hegseth slams report on boat strike targeting attack survivors, denies war crimes
New York Daily News - US News - 2 days ago
Daily Mail - Opinion - 2 days ago
At least 20 dead, several missing after boat capsizes in northwestern Congo
Toronto Star - World - 2 days ago
Times of India - World - 2 days ago
Russia Today - World - 2 days ago
TV News -- 'Young people can relate to my drug-dealing character on Fair City', says soap bad boy
Fair City star Stephen O’Leary believes many young people can relate to his bad boy character Zak Dillon’s former drug dealing ways as they can see it happ...
Independent.ie - Entertainment - 2 days ago
Guns, drugs and gambling: The latest on Baltimore's high-stakes lawsuits
The Baltimore Sun - Politics - 2 days ago
Ric Flair links Hulk Hogan's personal struggles and street drugs months after WWE legend's demise
Times of India - Sports - 3 days ago
Hegseth responds to report that boat survivors were killed on his orders
ABC News - Politics - 3 days ago
Trump says he'll pardon former Honduran President Hernandez, convicted of drug trafficking
President Trump said Friday that he will be pardoning former Honduran President Juan Orlando Hernandez, who in 2024 was convicted for drug trafficking and weapons charges and sentenced to 45 years in prison in the U.S.
Los Angeles Times - Politics - 3 days ago
Trump Says He Will Pardon Ex-Honduran President Convicted by Jury in US Drug Case
The U.S. president also reaffirmed his support for Nasry Asfura, the conservative candidate in the neck-and-neck Honduras election.
Epoch Times - US News - 3 days ago
US ordered 2nd attack to kill survivors of Caribbean boat strike: report
New York Daily News - World - 3 days ago
Trump says he plans to pardon former Honduran President Hernandez for 2024 drug trafficking sentence
The San Diego Union-Tribune - Politics - 3 days ago
International Business Times - Top Stories - 3 days ago
Trump Says Land Attacks Against Alleged Drug Smugglers Are Set To Start 'Very Soon'
International Business Times - World - 3 days ago
Keir Starmer makes extraordinary 6-word small boat crisis admission
Daily Express - Politics - 3 days ago
Hegseth Ordered Second Strike to Kill Caribbean Boat Survivors: Report
The United States changed its protocols after Secretary Hegseth allegedly told officials to "kill everybody" onboard an a Caribbean vessel in September.
Military.com - US News - 3 days ago
The First Nations Health Authority (FNHA) said that British Columbia has seen a record number of 911 calls related to toxic drug poisonings, as officials issue warnings about an increasingly tainted supply.
CBC News - Health - 3 days ago
Keir Starmer admits what we knew already - 'no effective deterrent' to migrant boats
Daily Express - Politics - 3 days ago
Next-level Ozempic is coming — inside the new era of weight-loss drugs about to drop
Blockbuster weight-loss shots are undergoing a major makeover.
New York Post - Health - 3 days ago
France to start intercepting small boats in the Channel
Policy change follows a letter sent by Prime Minister Sir Keir Starmer to French president Emmanuel Macron reportedly saying ‘we have no effective deterrent in the Channel’
Evening Standard - Politics - 3 days ago
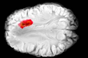
Common drug emerges to fight against most lethal brain cancer
Researchers discovered that Hydralazine works by inhibiting an enzyme called 2-aminoethanethiol dioxygenase , explaining a mystery that had persisted for many decades about how the drug actually...
International The News - Health - 3 days ago
France to begin at-sea interceptions of migrant boats in the Channel
Euractiv - Politics - 3 days ago
How dangerous is Trump's drug pricing policy for European patients? 25.11.2025 - Health
Euractiv - Health - 3 days ago
Daily Express - Politics - 3 days ago
Trump says US will begin taking land action against alleged Venezuelan drug traffickers
The announcement follows months of military strikes against alleged drug boats in the Caribbean and eastern Pacific.
SBS - Politics - 4 days ago
Nature's Ozempic: 5 edibles that 'mimic' the popular weight-loss drug with natural benefits
Times of India - Health - 4 days ago
The Conversation - Technology - 4 days ago
Falkland Islands 'should be used as offshore asylum camp to stop English Channel boats'
Daily Express - Politics - 4 days ago
Military.com - Opinion - 4 days ago
Drugs like Ozempic linked to annoying new side effect: study
It could make people think you're under the weather.
New York Post - Health - 4 days ago
Michelle Obama and Ozempic: Pros, cons, side effects of weight loss drug, celebs who have taken it
Times of India - Health - 4 days ago
Family Stranded For 21 Hours After Boat Capsizes
Four members of one family left Clearwater, Florida, on board a 25-foot catamaran to celebrate Dennis Woods’ 70th birthday and brought along his 90-year-old uncle, Clarence.
Inside Edition - US News - 5 days ago
Julian Baron: Are Trump's boat strikes really unprecedented? | STAFF COMMENTARY
The Baltimore Sun - Opinion - 5 days ago
Drugs or no, US boat strikes violate the law | STAFF COMMENTARY
The Baltimore Sun - Opinion - 5 days ago
Trump administration says lower prices for 15 Medicare drugs will save taxpayers billions
NEW YORK (AP) — Pharmaceutical companies have agreed to slash the Medicare prices for 15 prescription drugs after months of negotiations, reductions that are expected to produce billions in savings fo
The Columbian - Health - 5 days ago
Medicare negotiated lower prices for 15 drugs, including 71% off Ozempic and Wegovy
NPR - Health - 5 days ago
Actress Tara Reid alleges she was drugged at Rosemont hotel
Chicago Sun-Times - Entertainment - 6 days ago
There may not be a safe off-ramp for some taking GLP-1 drugs, study suggests
Ars Technica - Top Stories - 6 days ago
Endangered Species -- Illegal Wildlife Trade Tied to Drugs, Arms and Human Trafficking
Criminals around the world are increasingly mixing trade in illegal animal parts with trafficking of arms, humans, and more—even exchanging wildlife for drugs
Scientific American - Environment - 6 days ago
China launches an emergency lifeboat to bring three astronauts back to Earth
This is a “successful example for efficient emergency response in the international space industry.”…
Ars Technica - Top Stories - 6 days ago
Daily Mail - Health - 6 days ago
All the News That's Fit: Obesity drugs' alcohol effect, cheaper insulin and turkey eating
The San Diego Union-Tribune - Health - 6 days ago
Register UK - Science - 6 days ago
Contributor: Stigma only makes drug use more dangerous
When people who use illegal drugs feel like they have to hide their use, the risk of overdose and death soars.
Los Angeles Times - Health - 6 days ago
Drugs sneaked into Ohio prison soaked into the pages of 'Hillbilly Elegy'
The Baltimore Sun - Politics - 7 days ago
Tara Reid claims she was drugged in Chicago-area bar: report
New York Daily News - US News - 7 days ago
Meta’s own researchers called Instagram a “drug” while burying evidence that the company’s social media apps were hurting kids’ mental health, according to bombshell filings unsealed in...
New York Post - Technology - 7 days ago
Obesity jab drug fails to slow Alzheimer's
There were initial hopes that the drug in weight loss jab Wegovy could slow progression of dementia.
BBC News - Health - 7 days ago
Novo Nordisk shares plunge after Alzheimer's drug trial fails to hit key target
Shares of Novo Nordisk on Monday fell 10% after the Danish drug pharmaceutical company said a highly-anticipated trial for Alzheimer's disease failed to meet its main goal.
CNBC - Health - 7 days ago
Channel NewsAsia - Health - 8 days ago
Hearing loss could be reversed with popular erectile dysfunction drug
Genetic hearing loss may be reversible, early research suggests. Scientists test arginine and sildenafil treatments for inherited deafness conditions.
Fox News - Health - 9 days ago
Eli Lilly: First drugmaker to hit $1T valuation on weight-loss boom
Eli Lilly, the drugmaker company’s valuation has soared to $1 trillion as the demand grows due to the weight-loss boom. This valuation makes it the world’s first healthcare company to...
International The News - Business - 9 days ago
FDA's plan to boost biosimilar drugs could stall at the patent office
The Mercury News - Health - 10 days ago
BBC News - Top Stories - 10 days ago
The Conversation - US News - 10 days ago
Low doses of these popular drugs can reverse ageing, scientists say
Researchers say findings provide evidence for ‘comprehensive body-wide anti-aging strategy’
Independent UK - Science - 10 days ago
ABC News - Business - 11 days ago
Was Robbie Williams right? Can weight loss drugs really affect your eyesight?
NZ Herald - Health - 12 days ago
Register UK - Science - 12 days ago
College Place police find drugs, "ghost gun" in convicted felon's car
Apple Valley News Now - Weird - 13 days ago
EXCLUSIVE -- Canadian tech helped U.S. strike alleged Venezuelan drug boats: report
CBC News - World - 14 days ago
Fast-growing cancer could be slowed by common blood pressure drug, research shows
Scientists accidentally discovered how an old blood pressure drug hydralazine could fight aggressive brain cancer by targeting cellular oxygen sensors.
Fox News - Health - 14 days ago
Ozempic price slashed and set to reshape the obesity drug market
Ozempic price slashed and set to reshape the obesity drug market
Los Angeles Times - Health - 14 days ago
Novo Nordisk further lowers prices for weight loss, diabetes drugs for those who pay cash
Apple Valley News Now - Health - 14 days ago
Was Bitcoin Created by This International Drug Dealer? Maybe!
Wired News - Top Stories - 14 days ago
Study links weight-loss drugs to serious eye diseases and vision loss
Researchers suggest all diabetes patients on weight-loss drugs should be regularly screened and monitored for potential eye complications
Independent UK - Science - 15 days ago
Popular diabetes drug could block exercise benefits, new study warns
New research reveals metformin may reduce exercise benefits for diabetes patients, affecting blood sugar control and fitness gains in unexpected ways.
Fox News - Health - 16 days ago
Live Science - Health - 16 days ago
Weight-Loss Drug Zepbound Is Being Tested as a Treatment for Long Covid
Wired News - Science - 17 days ago
Bronze Age secrets revealed as boats emerge after 3,000 years
The boats lay undisturbed for centuries in ‘the peaty silence of time’
Independent UK - Science - 18 days ago
2 NEW MALARIA TREATMENTS ANNOUNCED AS DRUG RESISTANCE GROWS
The San Diego Union-Tribune - Health - 19 days ago
Novartis opens new factory in Carlsbad to make cancer drugs
The San Diego Union-Tribune - Business - 19 days ago
Paris Jackson Opens Up About Perforated Septum Due To Past Drug Use
Paris Jackson gave fans an up-close look at a medical problem.
Inside Edition - Health - 20 days ago
The Conversation - Technology - 20 days ago
The FDA removes a long-standing warning from hormone-based menopause drugs
The San Diego Union-Tribune - Health - 21 days ago
Christian Science Monitor - Entertainment - 21 days ago
The War on Drugs floats because we keep trying to sink it | Column
Tampa Bay Times - World - 21 days ago
Home & Boat Watchdog wins reaccreditation by national association
For the 10th year, Home & Boat Watchdog in Lewes has earned accreditation from the National Home Watch Association.
Bay to Bay News - Business - 21 days ago
Live Science - Health - 22 days ago
Trump's deals with Eli Lilly, Novo Nordisk could broaden obesity drug access
Medicare will start covering obesity drugs for the first time, which could open access to millions of seniors and spur more private insurers to follow suit.
CNBC - Health - 23 days ago
Business Insider - Sports - 23 days ago
The Conversation - Health - 24 days ago
This common diabetes drug may be cancelling out benefits of exercise
New study raises urgent questions about how doctors treat diabetes
Independent UK - Science - 25 days ago
Here's how much weight loss drugs could cost under Trump's deals with Lilly, Novo
The monthly out-of-pocket cost of popular injections and upcoming pills could range from $50 to $350, depending on the dosage and insurance coverage.
CNBC - Health - 25 days ago
Weight-loss drug makers announce pricing agreement with Trump
The deal, which includes Eli Lilly and Novo Nordisk, will slash prices for Medicare and Medicaid programme recipients.
Aljazeera - Science - 25 days ago
Trump announces deal with Eli Lilly, Novo Nordisk to cut weight loss drug prices
The deals are among the most politically significant announcements to date in the Trump administration's efforts to rein in high U.S. drug costs.
CNBC - Health - 25 days ago
A list of US military strikes against alleged drug-carrying vessels
Army Times - Top Stories - 25 days ago
Trump unveils deal to expand coverage and lower costs on obesity drugs
The San Diego Union-Tribune - Health - 25 days ago
Eli Lilly to start late-stage trials on amylin obesity drug after promising data
The highest dose of Eli Lilly's weekly injection helped patients with obesity or who are overweight lose 20.1% of their body weight on average at 48 weeks.
CNBC - Health - 25 days ago
'Dilbert' creator's desperate plea shines spotlight on alternative prostate cancer drug
The FDA-approved drug Pluvicto offers hope for advanced prostate cancer patients, but access barriers remain despite proven effectiveness in extending survival.
Fox News - Health - 27 days ago
FDA's top drug regulator resigns after federal officials probe 'serious concerns'
The San Diego Union-Tribune - Health - 28 days ago
Where the blockbuster weight loss drug market stands today — and what's coming next
CNBC - Health - 29 days ago
Breast cancer drug stock Olema Pharmaceutical could more than double from here
The clinical-stage biopharma stock has rallied more than 70% over the past three months on the back of promising clinical data for its lead drug, Palazestrant.
CNBC - Health - 1 month ago
FDA says drugmakers have recalled a blood pressure medicine tainted with a cancer-causing chemical
The Mercury News - Health - 1 month ago
FDA says drug makers have recalled a blood pressure medicine tainted with a cancer-causing chemical
The San Diego Union-Tribune - Health - 1 month ago
FDA to speed up approvals of biosimilars as Trump targets high drug costs
It's the Trump administration's latest move to rein in high prescription drug costs in the U.S., and could be a blow to pharmaceutical companies.
CNBC - Health - 1 month ago
Federal health officials push effort to spur cheaper biotech drugs
The San Diego Union-Tribune - Health - 1 month ago
Eli Lilly, Walmart to offer discounted retail option for obesity drug Zepbound
Starting in mid-November, cash-paying patients can purchase Zepbound vials at discounts of 50% or more through the retailer's locations or via home delivery.
CNBC - Health - 1 month ago
Eli Lilly, Nvidia to build supercomputer, AI factory for drug discovery
It's the latest stride by Nvidia and the pharmaceutical industry to harness AI to try to reduce costs and shorten the time it takes to bring cures to patients.
CNBC - Health - 1 month ago
US troops should be alarmed at Trump's strikes on alleged drug boats
Army Times - Opinion - 1 month ago
These drugs can calm you before performing in public. Here's how.
The San Diego Union-Tribune - Health - 1 month ago
This Is the Nuclear-Powered Ship Deployed in Trump's War on Drug Boats
Wired News - Technology - 1 month ago
Cigna will end drug rebates in many private health plans
The San Diego Union-Tribune - Health - 1 month ago
Popular weight-loss drugs could take the edge off your alcohol buzz, study finds
GLP-1 medications such as Ozempic and Wegovy appear to make people feel less drunk and reduce alcohol cravings by delaying gastric emptying, researchers report.
Fox News - Health - 1 month ago
New drug could help prevent sight loss in people with diabetes, study suggests
The study was led by researchers at Queen’s University Belfast.
Evening Standard - Health - 1 month ago
Existing drugs could be reused to treat Alzheimer's and Parkinson's
Independent UK - Health - 1 month ago
We wanted to know where a widely used prescription drug that treats high cholesterol was manufactured and whether the factory had quality issues. The search led to a labyrinth of company names and databases that few would know about.
ProPublica - Health - 1 month ago
My nonverbal autistic son began speaking at 8 after taking wonder drug — here's what he said
Nathaniel Schnier had notes — years’ worth of them.
New York Post - Health - 1 month ago
Weight loss drug shares down after Trump promises Ozempic price cut
The comment from Trump has investors worried about a worst-case scenario for the obesity landscape
Independent UK - Health - 1 month ago
Medicare Part D prescription drug coverage choices are dwindling: What you need to know
New York Daily News - Health - 1 month ago
Daily Mail - World - 1 month ago
Arizona researchers can now apply for $5M to study psychoactive drug
Phoenix New Times - Top Stories - 1 month ago
Daily Mail - World - 1 month ago
Daily Mail - World - 2 months ago
Ukraine's Other War: The Battle Against Drug-Resistant Bacteria
Byline Times - Health - 2 months ago
Gizmodo - Science - 2 months ago
Citing a recent ProPublica investigation, Rick Scott, R-Fla., and Kirsten Gillibrand, D-N.Y., said they had “urgent concerns” about the agency’s oversight of foreign drugmakers and whether medications coming into the U.S. are safe.
ProPublica - Health - 2 months ago
CBC News - Opinion - 2 months ago
How Trump's 'War on Drugs' buildup against Venezuela has a hidden agenda
First Post - Opinion - 2 months ago
Live Science - Health - 2 months ago
New drug that slows onset of type 1 diabetes set for UK release
Independent UK - Health - 3 months ago
A Giant Indian Drugmaker Failed to Fix Safety Breaches. The FDA Let It Off the Hook Again and Again.
Documents obtained by ProPublica offer a rare glimpse into discussions between the global drugmaker Sun Pharma and the FDA, exposing how the agency tolerated substandard manufacturing for years.
ProPublica - Health - 3 months ago
President Trump Considers Reclassifying Marijuana As A Less Dangerous Drug
The Federalist Papers - Opinion - 3 months ago
Live Science - Technology - 3 months ago
The FDA Is Cracking Down on an Indian Drugmaker Investigated by ProPublica Last Year
ProPublica - Health - 4 months ago
Seven Things to Know About ProPublica's Investigation of the FDA's Secret Gamble on Generic Drugs
ProPublica spent 14 months investigating the FDA’s oversight of foreign drugmakers that send medications to the U.S. These are the key takeaways.
ProPublica - Health - 5 months ago
His Kidney Failed. He'll Never Know if a Transplant Drug From a Banned Factory Was to Blame.
When Joe DeMayo’s donated kidney started to fail earlier than expected, he didn’t know that the drug he was taking could’ve left him vulnerable — and that one of the most formidable drug regulators in the world may have failed to protect him.
ProPublica - Health - 5 months ago
ProPublica Sued the FDA for Withholding Records About the Safety of Generic Drugs
The agency declined to quickly release documents that would identify drugs made at some of the most troubled foreign factories. The request was part of ProPublica’s ongoing investigation into the safety of America’s generic drug supply.
ProPublica - Health - 5 months ago
We Spent a Year Investigating How the FDA Let Risky Drugs Into the U.S. Market
Our investigation exposed a little-known practice inside the FDA that allowed more than 150 drugs or their ingredients into the U.S. over the past dozen years even though they were made at factories banned from shipping their products here.
ProPublica - Health - 5 months ago
Threat in Your Medicine Cabinet: The FDA's Gamble on America's Drugs
A ProPublica investigation found that for more than a decade, the FDA gave substandard factories banned from the United States a special pass to keep sending drugs to an unsuspecting public.
ProPublica - Health - 5 months ago
Can weight loss drugs help you drink less alcohol? -- Marianne Guenot -- Published
Live Science - Health - 6 months ago
Combo of cancer therapy drugs increases mice lifespan by 30% -- Patrick Pester
Live Science - Health - 6 months ago
5 Big Questions About Trump's Plan to Lower Drug Prices
Trump’s new executive order doesn’t look very promising.
New York Magazine - Business - 6 months ago
I lost 20 pounds and reversed my prediabetes in just 90 days without drugs — my exact method
Norma Lyons was 40 pounds overweight and considered tortilla a major food group when her doctor broke the news that she was prediabetic.
New York Post - Health - 7 months ago
Boston Globe - Top Stories - 7 months ago
Can a Drug That Fights Parasites Also Help with Autism? -- Laura Geggel
Live Science - Health - 1 year ago
Daily Mail - Opinion - 1 year ago
BBC News - Health - 1 year ago
'Potent' experimental drug given to Trump already being used in UK
The Canary - Science - 1 year ago
Weight Loss Drugs Aren't A Quick Fix
BuzzFeed News - Science - 2 years ago